Image of a desk with a laptop that runs the besmyle software portal
Work from
wherever
you are
with our innovative
orthodontic model

Elevate out of the chair.

Discover a new dimension of orthodontic care and easily scale yourself beyond traditional brick & mortar practice
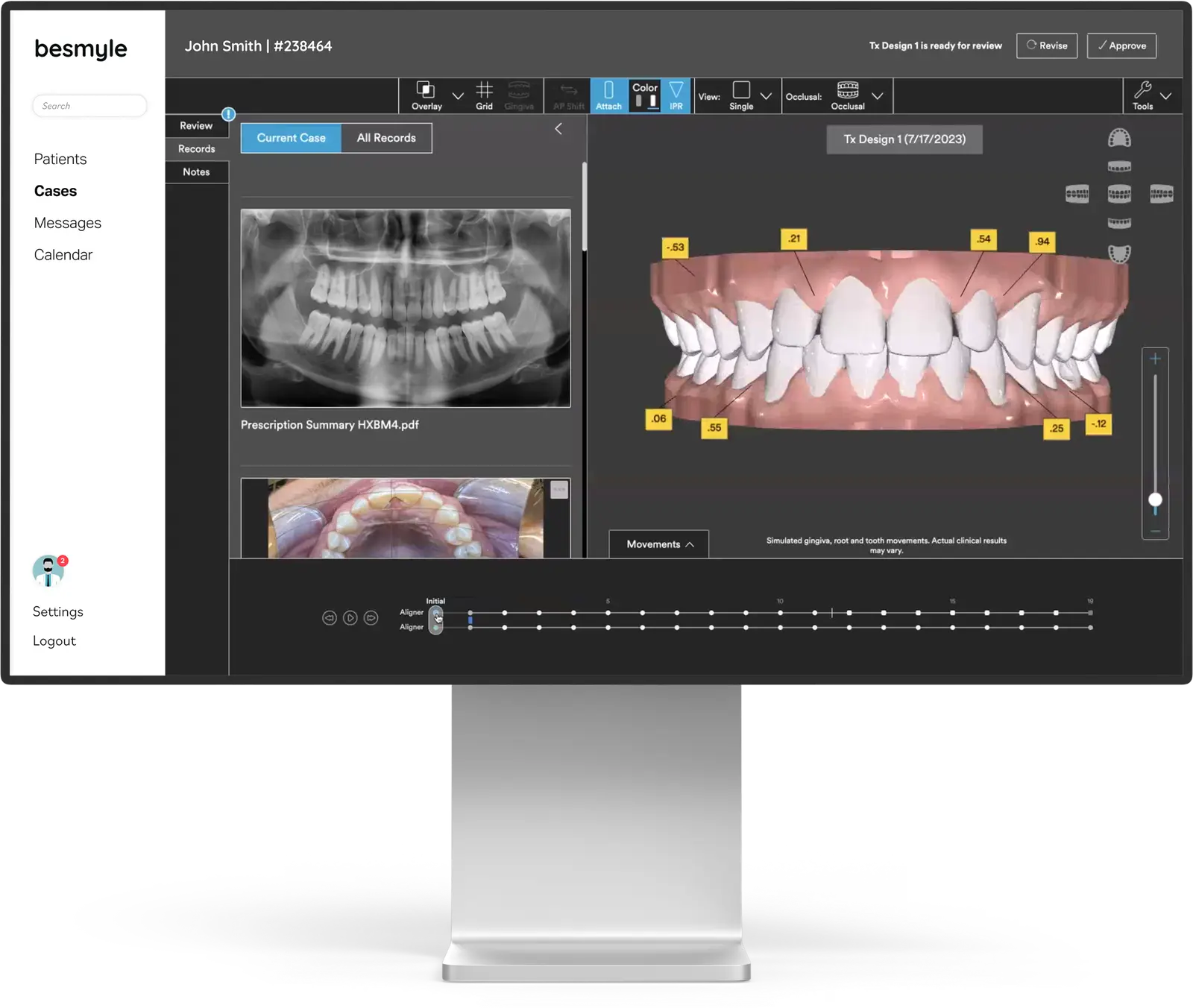
Image of a monitor running the besmyle portal software

Fully digital workflow

We streamline the orthodontic process with an easy, efficient workflow designed to save time and enhance patient care.
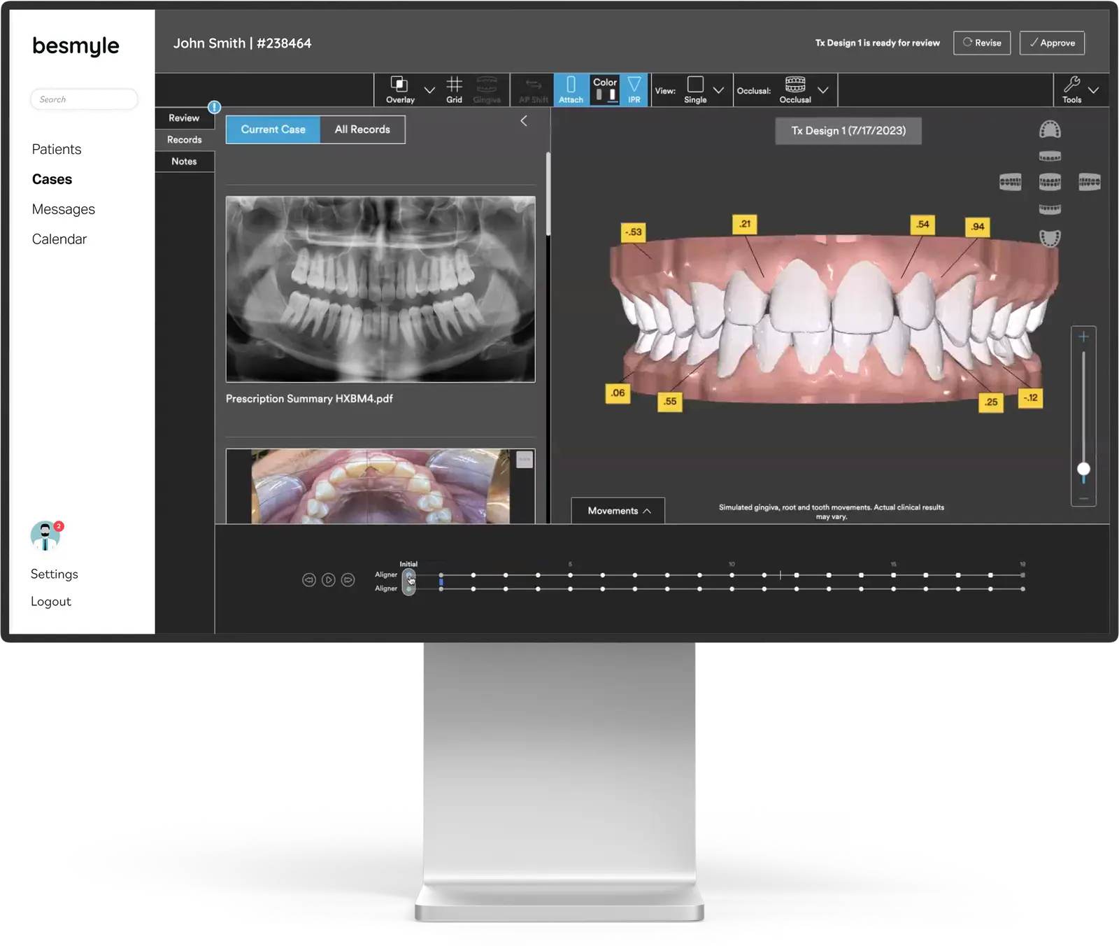
Image of a monitor with the besmyle portal software

Remote Management

Our state-of-the-art portal is designed to streamline client and case management with unparalleled ease. Dentists can quickly create a new patient profile, upload photos and 3D scans, and add notes to initiate a comprehensive treatment plan

What others say about us

What an amazing company changing the landscape of orthodontics as we all know it. Besmyle is a true leader in the field. Working with Dr. Stout and besmyle has proven to be one of the best decisions we have made in my 30 years in private practice.
Dr. Edwin Porter
Charlotte, NC
I am continuously amazed at how thorough Dr. Stout is as well as how quickly he can progress people through their clear aligner cases, even really complex ones! He is clearly an expert and has made clear aligner therapy more accessible to us as GPs as well as our patients. I'm thrilled that we started working with him and I cannot imagine going back to doing it on our own!
Dr. Chelsea Stangl
Crested Butte, CO
Working with Dr. Stout and besmyle has been nothing short of fantastic. The system is remarkably efficient, easy, and seamless. The cases track beautifully and our patients have been thrilled with the progress. Communication with our besmyle orthodontist has been excellent and we have seen a significant increase in case acceptance. Besmyle has been a game-changer for our practice.
Dr. Golnaz Samimifar
Englewood, CO
Once I tried their services I haven't looked back. My results have been very straightforward and predictable. The BEST part of my relationship with them is that I feel like we accomplish a better product together and it has made all the difference in my practice. I feel like I am offering better overall treatment by combining orthodontics with my esthetic and restorative cases.
Dr. Jonathan Zsambeky
Concord, NC

Get On Board

If you want to join our amazing team please send your CV and cover letter to:
apply@besmyle.com
Copyright © 2026 Apollo Orthodontics LLC. All rights reserved.
besmyle® is a registered trademark of Apollo Orthodontics LLC.